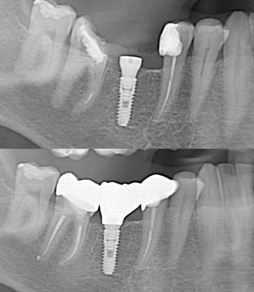
Revolutionizing Smiles: The Magic of Implant Bridges

Losing multiple teeth, especially those in close proximity, can significantly impact not only the aesthetics of your smile but also the functionality of your bite. Fortunately, the realm of modern dentistry has introduced a transformative solution – the implant bridge. Let’s embark on a journey to explore the marvels of implant bridges and how they’re […]
Choosing The Correct Dental Restoration

Dental crowns A dental crown is often the treatment of choice when dealing with an ailing tooth. They operate as protective caps to avoid additional harm to already damaged teeth. Each tooth’s unique shape and size is taken into consideration when a dental lab crafts a crown. In most cases, dental crowns are crafted from […]
In a Scale of 1-10, How Painful Is Dental Implant Surgery?

One of the biggest reasons people believe dental implant surgery is painful is because of what they see on the internet. A quick search for dental implant surgery will net you plenty of pictures or people getting holes drilled into their gums, which looks quite scary if you do not know what is going on. […]
WHAT IS DENTAL BONE GRAFT?

A dental bone graft adds volume and density to your jaw in areas where bone loss has occurred. The bone graft material may be taken from your own body (autogenous), or it may be purchased from a human tissue bank (allograft) or an animal tissue bank (xenograft). In some instances, the bone graft material may […]
What Is Dental Implant?

Dental implant surgery is a procedure that replaces tooth roots with metal, screwlike posts and replaces damaged or missing teeth with artificial teeth that look and function much like real ones. Dental implant surgery can offer a welcome alternative to dentures or bridgework that doesn’t fit well and can offer an option when a lack […]