Losing multiple teeth, especially those in close proximity, can significantly impact not only the aesthetics of your smile but also the functionality of your bite. Fortunately, the realm of modern dentistry has introduced a transformative solution – the implant bridge. Let’s embark on a journey to explore the marvels of implant bridges and how they’re reshaping the landscape of restorative dentistry.
Understanding Implant Bridges:
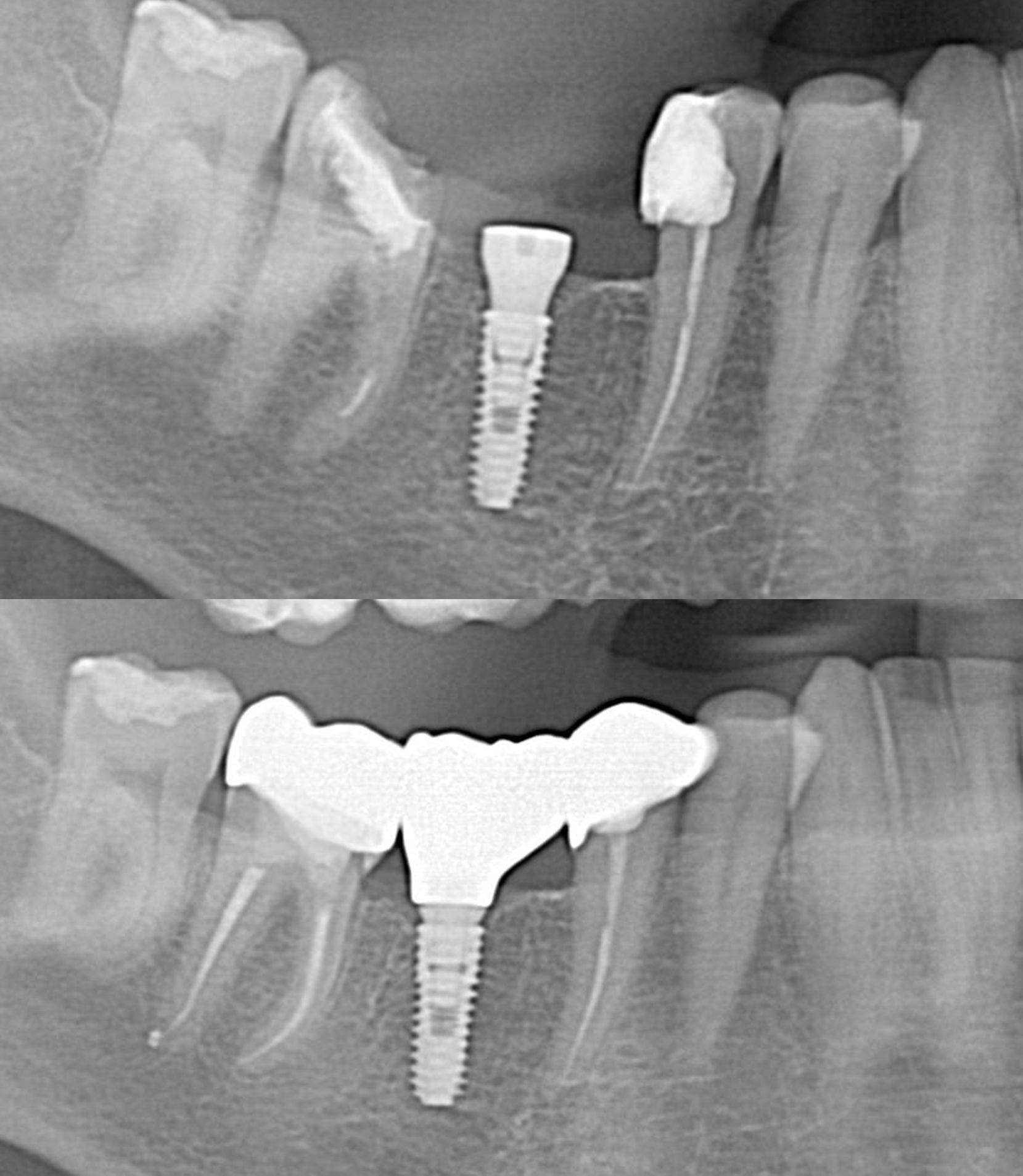
An implant bridge is a dental restoration that replaces two or more adjacent missing teeth. It consists of dental implants strategically placed to support a bridge, which is a custom-crafted set of prosthetic teeth. Implant bridges offer a permanent and stable solution, addressing both the cosmetic and functional aspects of tooth loss.
The Implant Bridge Process:
- Comprehensive Assessment: The journey begins with a thorough examination, including imaging such as X-rays or CT scans. This aids in evaluating the bone structure and determining the optimal placement for the dental implants.
- Implant Placement: Dental implants, typically made of titanium, are surgically placed into the jawbone. These implants serve as artificial tooth roots, providing a secure foundation for the bridge.
- Healing Period: After implant placement, a healing period follows. During this time, the implants integrate with the jawbone through a process called osseointegration, ensuring stability and durability.
- Abutment Attachment: Once the implants are firmly integrated, abutments are attached. Abutments are connectors that link the implants to the bridge.
- Custom Bridge Creation: The bridge, tailored to fit seamlessly with your natural teeth, is then crafted. The color, shape, and size are meticulously designed to achieve a harmonious blend with your existing dentition.
- Final Placement: The final step involves attaching the custom bridge to the abutments. This completes the implant bridge, restoring the aesthetics and functionality of your smile.
Benefits of Implant Bridges:
- Natural Appearance: Implant bridges mimic the look and feel of natural teeth, providing a lifelike smile that seamlessly integrates with your existing dentition.
- Enhanced Functionality: Beyond aesthetics, implant bridges restore the functionality of chewing and speaking, allowing you to enjoy a varied and balanced diet.
- Bone Preservation: The integration of implants with the jawbone helps prevent bone loss, maintaining the structural integrity of the facial bones.
- Durability and Longevity: With proper care, implant bridges can last for many years, offering a durable and long-term solution for tooth replacement.
Candidacy for Implant Bridges:
Ideal candidates for implant bridges are individuals with multiple missing teeth in a specific area, sufficient bone density to support implants, and overall good oral health. A consultation with a dental professional can determine suitability and provide personalized recommendations.
Conclusion:
Implant bridges are not merely replacements for missing teeth; they are transformative solutions that rejuvenate smiles and restore confidence. As technology advances, the realm of restorative dentistry continues to offer innovative ways to recreate the beauty and functionality of a natural, complete smile. If you’re considering implant bridges, consult with a qualified dental professional to explore how this remarkable solution can enhance your oral health and well-being.

