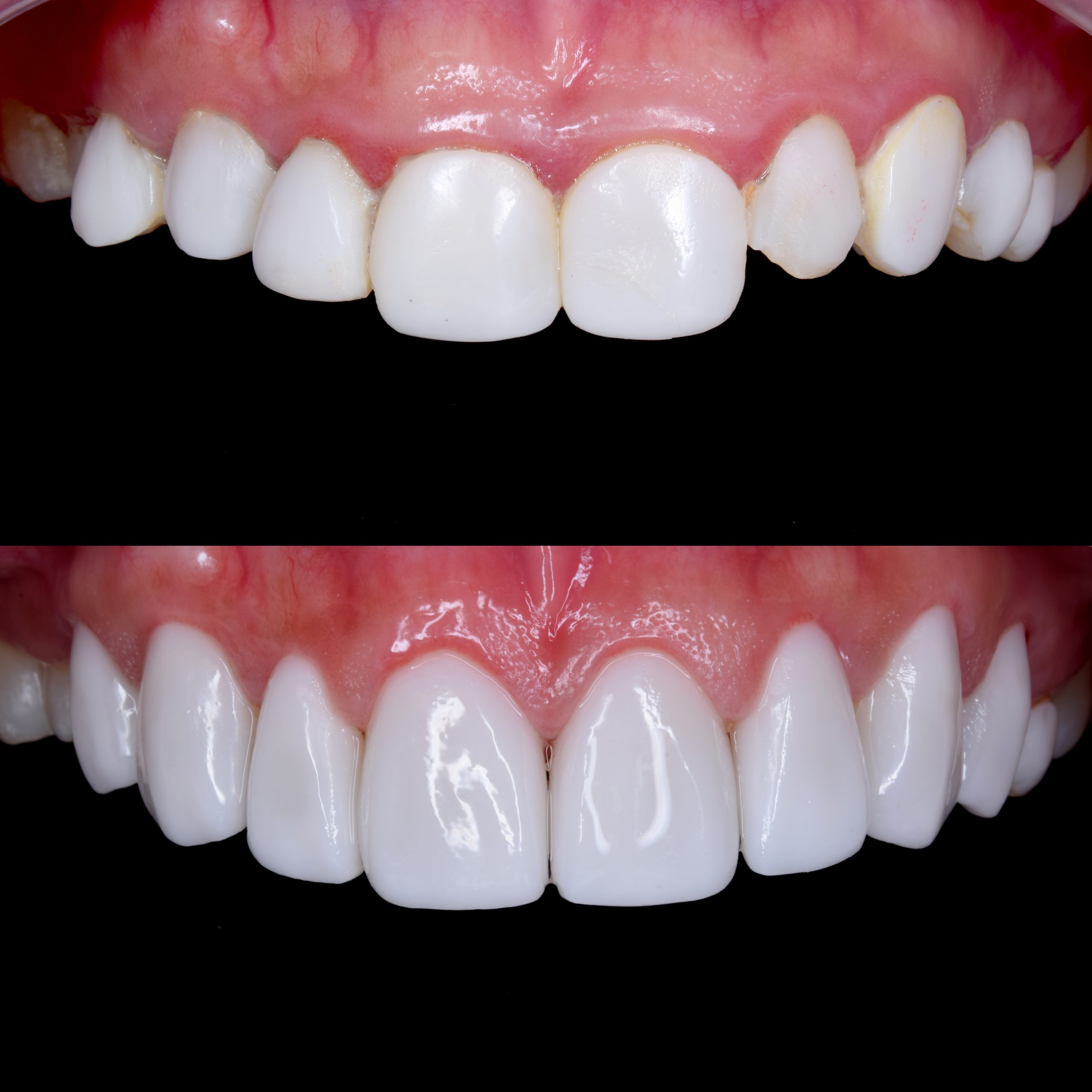
A captivating smile is an invaluable asset, and porcelain veneers have become a popular choice for achieving that picture-perfect grin. However, not all veneers are created equal. In the quest for a radiant smile, understanding the differences between bulky veneers and high-quality porcelain veneers is crucial.
The Bulky Veneer Dilemma:
**1. Excessive Thickness:
- Bulky veneers often suffer from excessive thickness, resulting in an unnatural appearance. This can lead to a “bulky” or overdone look that stands out rather than blending seamlessly with natural teeth.
**2. Lack of Translucency:
- Translucency is a key characteristic of natural teeth, allowing light to penetrate and reflect. Bulky veneers may lack this quality, appearing opaque and artificial under certain lighting conditions.
**3. Cookie-Cutter Design:
- Mass-produced or poorly crafted bulky veneers may follow a one-size-fits-all design. This can compromise the individuality of a smile, failing to account for unique facial features and natural tooth variations.
**4. Challenges in Bite Adjustment:
- Bulky veneers can pose challenges in achieving a harmonious bite. Excessive thickness may require more adjustment, potentially leading to discomfort or an unnatural feel when biting.
**5. Limited Artistry:
- Craftsmanship is pivotal in veneer creation. Bulky veneers may lack the artistry needed for subtle shading, contouring, and detailing that characterize a natural and beautiful smile.
The Charm of Good Porcelain Veneers:
**1. Customization for Natural Aesthetics:
- High-quality porcelain veneers prioritize customization. They are individually crafted to complement the unique features of each patient’s face, ensuring a natural and harmonious aesthetic.
**2. Optimal Translucency:
- Exceptional porcelain veneers mimic the translucency of natural teeth, allowing light to pass through and reflect, creating a lifelike appearance. This characteristic is vital for achieving a seamlessly integrated smile.
**3. Precise Bite Adjustment:
- Skilled dentists ensure that good porcelain veneers are precisely fitted, promoting a comfortable and natural bite. This attention to detail minimizes the need for extensive adjustments and enhances overall comfort.
**4. Artisan Craftsmanship:
- The creation of good porcelain veneers involves meticulous craftsmanship. Experienced dental artisans focus on detailing, shading, and contouring, ensuring that each veneer is a work of art that enhances the individual’s unique features.
**5. Long-Lasting Elegance:
- While both bulky and good porcelain veneers can provide an instant transformation, the latter excels in long-term elegance. Quality materials and craftsmanship contribute to durability and a timeless appeal.
Choosing the Right Path for Your Smile:
The choice between bulky veneers and high-quality porcelain veneers is pivotal in achieving a smile makeover that stands the test of time. When considering veneers, prioritize quality, customization, and the expertise of your dental professional. A well-crafted smile not only enhances your appearance but also boosts your confidence in every moment.

